Napisz
Wiadomości
Sport
Pogoda
Ogłoszenia
Imprezy
Rykowisko
Sondy
Archiwum
Telefony alarmowe
Subskrypcja
Powiadom redakcję
Dodaj film, zdjęcia
Dodaj imprezę
Dodaj ogłoszenie
Dodaj artykuł
w dziale Rykowisko
Tragedie i dramaty
112
Nekrologi
Kultura
Policja Jelenia Góra
Głos ulicy
Edukacja
Jeleniogórskie ulice
Jelonka wczoraj
Kilometry
Kościół i wiara
Kryminał
Pieniądze
Pomagamy
Rozmowy Jelonki
Samorządy
Turystyka
Ciekawe miejsca
Seniorzy
Informacje z Regionu:
Jelenia Góra
Karpacz
Kowary
Piechowice
Szklarska Poręba
Janowice Wielkie
Jeżów Sudecki
Mysłakowice
Podgórzyn
Stara Kamienica
Dolny Śląsk
Karkonosze
Cieplice
Pilchowice
Jakuszyce
Lwówek Śląski
Sobieszów
Dziwiszów
Kaczorów
Kamienna Góra
Lubań
Lubawka
Świeradów Zdrój
Złotoryja
Bolków
Gryfów Śląski
Łomnica
Przesieka
Rybnica
Siedlęcin
Sosnówka
Świerzawa
Trzcińsko
Wleń
Polub Jelonkę:
Czytaj także:
Wałbrzych
Świdnica
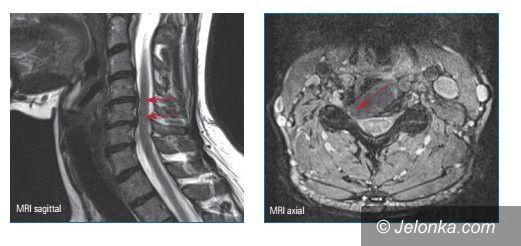
Nowoczesne leczenie małoinwazyjne dyskopatii szyjnej kręgosłupa w KCM
- fotografie
Strona 5 z 5
Fot. KCM Clinic SA
Fot. KCM Clinic SA
Fot. KCM Clinic SA
< Poprzednia strona
< Powrót do artykułu
Więcej fotogalerii
Jelonka.com
Portal miasta Jeleniej Góry
i Kotliny Jeleniogórskiej
Subskrypcja
Strona główna
Wiadomości
Sport
Pogoda
Ogłoszenia
Dodaj ogłoszenie
Imprezy
Dodaj swoją imprezę
Fotogalerie
Rykowisko
Sondy
Archiwum
Gazeta
Regulamin wypowiedzi
Polityka prywatności
Redakcja
Reklama
Cennik reklam
Telefony alarmowe
Subskrypcja
Logo
Portale regionalne
Jelenia Góra: Jelonka.com
Wałbrzych: Wałbrzyszek.com
Świdnica: Świdniczka.com
Copyright © 2002-2026
Highlander's Group